Лечение зубов в Вельске
Лечение зубов
Используем материалы премиум-класса, которые служат годами, не темнеют и не выпадают
Подбираем лечение именно для Вас, учитывая Ваши пожелания, чувствительность и даже психологический комфорт

Виды заболеваний зубов

Начальный (поверхностный) кариес
На эмали появляются белые или тёмные пятна. Лечение простое — реминерализация или небольшая пломба.

Средний кариес
Повреждается эмаль и дентин. Необходима очистка и установка пломбы.

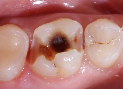
Глубокий кариес
Поражение близко к нерву, часто сопровождается болью. Требуется более серьёзное восстановление и надёжная реставрация.
Пульпит
Воспаление «нерва» зуба. Проявляется сильной, пульсирующей болью. Лечение заключается в удалении воспалённой пульпы и пломбировании каналов.
Периодонтит
Осложнение нелеченного пульпита. Может привести к кисте и потере зуба. Важно обратиться как можно раньше.
Методы лечения зубов
В нашей клинике применяются современные и щадящие методики:
- Пломбирование зубов светокомпозитными материалами.
- Эстетическая реставрация — восстановление формы и цвета зуба.
- Керамические вкладки и коронки — надёжное восстановление при сильном разрушении зуба.
- Современная анестезия — лечение проходит комфортно, без боли и стресса.

Лечение зубов в Коралл это

Лечение без боли и страха.

Работаем по современными технологиям.

Используем только сертифицированные материалы

Гарантия на пломбы и реставрации
Цены, стоимость лечения кариеса
1 |
Лечение кариеса |
8 400 р. - 9 250 р. |
|
Лечение кариеса зуба, разрушенного менее чем на 50%, включая лечение, подготовку полости с реставрацией композитным светоотверждаемым материалом. Стоимость зависит от степени повреждения зуба. | |||
2 |
Лечение кариеса сильно разрушенного зуба |
8 650 р. - 9 400 р. |
|
Лечение кариеса зуба, разрушенного более чем на 50%, включая лечение, подготовку полости с реставрацией композитным светоотверждаемым материалом. Стоимость зависит от степени повреждения зуба. | |||
3 |
Лечение осложнённого кариеса (пульпита) |
11 850 р. - 18 950 р. |
|
Лечение осложнённого кариеса с лечением и пломбированием каналов - 1,2 или 3-х канального зуба, включая реставрацию коронковой части зуба композитным светоотверждаемым материалом. |
|||
4 |
Лечение осложнённого кариеса (периодонтита) |
12 050 р. - 19 000 р. |
|
Лечение осложнённого кариеса с лечением и пломбированием каналов - 1,2 или 3-х канального зуба, включая реставрацию коронковой части зуба композитным светоотверждаемым материалом. | |||