Попова Татьяна Андреевна
-
Стаж работы:
19 лет
-
Образование:
Северный государственный медицинский университет (г. Архангельск)

Личная история
" Мне всегда хотелось быть похожей на маму. Моя мама - медсестра, ее очень ценят пациенты и уважают коллеги. Я часто была на ее работе. Там всегда было чисто, все ходили в белых халатах и пахло как-то по особенному! Напротив ее кабинета был кабинет стоматолога, у которого было много посетителей, а из-за двери доносились непонятные звуки. Было интересно, что же там делают? Мама объясняла, что там лечат зубы, помогают людям, снимают зубную боль. Когда я впервые побывала на приеме у этого доктора, меня мучил вопрос: "Зачем, когда сверлят, меняют одну штучку на другую?" Теперь я знаю ответ!"
Опыт работы
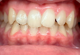
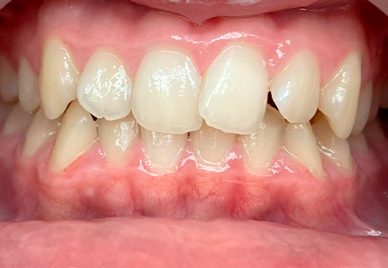
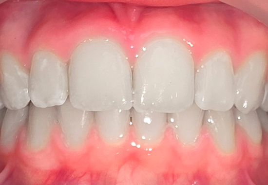
Татьяна Андреевна работает в клинике эстетической стоматологии «Коралл» с сентября 2007 года. Занимается исправлением прикуса и неровно стоящих зубов. Проводит лечение зубов и корневых каналов любой сложности, отлично владеет эстетической реставрацией зубов. Всегда готова внимательно выслушать пациента и предложить оптимальный вариант лечения в его ситуации. Профессиональное мастерство, душевная доброта и отзывчивость, спокойный уравновешенный характер – это те качества, которые Татьяна Андреевна каждый день дарит своим пациентам.
Образование, квалификация
- Северный государственный медицинский университет
Диплом ВСВ № 0923229
Год окончания: 2006
Специальность: стоматология
- Северный государственный медицинский университет
Удостоверение № 39 от 30.06.2007 г. о присвоении специальности «стоматология»
- ФГБУ ФНКЦ ФМБА России г. Москва
Диплом 107727 001718
Специальность: Ортодонтия
Квалификация: Врач-ортодонт
Год окончания: 2024 г.
Усовершенствование квалификации/аккредитация
-
ФГБОУ ДПО РМАНПО Минздрава России
Уникальный номер реестровой записи об аккредитации 7723 031564424
Дата 28.11.2023
Номер протокола 258
Срок действия: до 28 ноября 2028 г.Уникальный номер реестровой записи об аккредитации 7724 032245689
Дата 12.09.2024
Номер протокола 12
Срок действия: до 12 сентября 2029 г.